12 mart 2023 02:57
646

Ölü körpəsini 9 il bətnində gəzdirdi

ABŞ-də yaşayan 50 yaşlı Konqo vətəndaşı doqquz il bədənində ölü uşağını gəzdirdiyi üçün Nyu Yorkda dünyasını dəyişib.

Hər şey illər əvvəl Tanzaniyada başlayıb. Qadın müharibədən gizlənərək Konqodan bu ölkəyə pənah aparıb və orada yaşadığı illər ərzində səkkiz uşaq dünyaya gətirib.

Afrikalı qadın doqquzuncu hamiləliyinin 28-ci həftəsində körpənin hərəkətini dayandırdığını hiss edib və kömək üçün qaçqın düşərgəsindəki həkimlərə müraciət edib. Həkimlər onu müayinə etdikdən sonra qadına yenidən qəbula gəlməyi təklif ediblər.

Təyin olunmuş gündə onlar qadını uşağı öldürməkdə ittiham edib və lənət yağdırıblar. Bundan sonra qadın evə qayıdıb və daha həkimlərə getməmək qərarına gəlib.

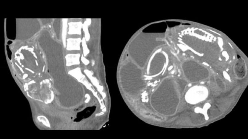
Ancaq doqquz il sonra Nyu-Yorka köçən afrikalı yenə də öz sözünü pozub və mədəsində həzm problemləri şikayəti ilə xəstəxanaya gəlib. Müayinə zamanı qadının orqanizmində həzm sisteminə təzyiq göstərən və həyati vacib qidaların orqanizmə daxil olmasına mane olan artıq daşlaşmış dölün olması müəyyən edilib.

Həkimlər xəstəyə əməliyyat olunmasını və ölən uşağı çıxartmağı təklif ediblər, lakin miqrant hər şeyin günahının Tanzaniyada ona söylənən lənətlərin olduğunu deyərək bundan imtina edib. Qadın həkimlərə öz vəziyyətini nəzarətdə saxlamağa və halı pisləşərsə, tibb işçilərinə müraciət edəcəyini vəd edib. Lakin həkimlərlə qadının növbəti “görüşü” artıq meyitxanada baş tutub. Yarılma zamanı normal qidalana bilməyən orqanizmin tükənməsi ölümün səbəbi kimi qeydə alınıb.

Oxu.Az